Coksartrose - Dit is artrose van het heupgewricht.
Het ontwikkelt zich geleidelijk, gedurende meerdere jaren, vatbaar voor progressie, kan zowel eenzijdig als dubbelzijdig zijn. Het gaat gepaard met pijn en beperking van bewegingen in het gewricht. In de latere stadia wordt de atrofie van de heupspieren en verkorting van het ledemaat waargenomen. De diagnose wordt vastgesteld op basis van klinische symptomen en radiografieresultaten. In de vroege stadia van coxarthrose, conservatieve behandeling. Met de vernietiging van het gewricht, vooral bij patiënten op de jonge en middelbare leeftijd, is chirurgie (endoprosthetics) aangegeven.
Algemene informatie
Coksartrose (osteoarthrose of vervormende artrose van het heupgewricht) is een degeneratieve dystrofische ziekte. Het ontwikkelt zich meestal op de leeftijd van 40 jaar en ouder. Het kan een gevolg zijn van verschillende verwondingen en gewrichtsziekten. Soms gebeurt het zonder duidelijke reden. Coksartrose wordt gekenmerkt door een geleidelijke progressieve cursus. In de vroege stadia worden conservatieve behandelingsmethoden gebruikt. In de latere fasen kan de gezamenlijke functie alleen operationeel worden hersteld.
In orthopedie en traumatologie is coxarthrose een van de meest voorkomende artrose. De hoge frequentie van de ontwikkeling ervan is te wijten aan een significante belasting op het heupgewricht en de wijdverbreide prevalentie van aangeboren pathologie - gewrichtsdysplasie. Vrouwen lijden een beetje vaker aan coksartrose dan mannen.
De oorzaken van coksartrose
De primaire (die ontstaan om onbekende redenen) en secundaire (ontwikkeld als gevolg van andere ziekten) artrose van het heupgewricht worden onderscheiden.
Secundaire coksartrose kan het resultaat zijn van de volgende ziekten:
- Heupgewricht dysplasie.
- Aangeboren dislocatie van de dij.
- Pertes's ziekten.
- Aseptische necrose van het dijhoofd.
- Infectieuze laesies en inflammatoire processen (bijvoorbeeld artritis van het heupgewricht).
- Verwondingen (traumatische dislocaties, breuken van de heuphals, bekkenfracturen).
Coksartrose kan ofwel één zegend of dubbelzijdig zijn. Met primaire coxarthrose wordt vaak een gelijktijdige laesie van de wervelkolom (osteochondrose) en kniegewricht (gonartrose) waargenomen.
Risicofactoren
Onder de factoren die de kans op de ontwikkeling van coxarthrose vergroten, zijn onder meer:
- Constante verhoogde belasting op het gewricht. Meestal waargenomen bij atleten bij mensen met een overtollig lichaamsgewicht.
- Circulatiestoornissen, hormonale veranderingen, metabole stoornissen.
- Pathologie van de wervelkolom (kyfose, scoliose) of stop (platte voeten).
- Oudere en seniele leeftijd.
- Een zittende levensstijl.
Coksartrose zelf is niet geërfd. Bepaalde kenmerken (metabole stoornissen, structurele skeletstructurele kenmerken en de zwakte van kraakbeen) kunnen echter door het kind van ouders worden geërfd. Daarom is in aanwezigheid van bloedverwanten die lijden aan coxarthrose, de kans op het optreden van de ziekte enigszins toegenomen.
Patanatomie
Het heupgewricht wordt gevormd door twee botten: ileum en femorale. Het hoofd van de dij is gearticuleerd met het acetabulum van het iliacale bot en vormt een eigenaardig "scharnier". Tijdens bewegingen blijft het acetabulum onbeweeglijk en beweegt de femorale kop in verschillende richtingen, waardoor flexie, extensie, ontvoering, ontvoering en rotatieheupen worden gewaarborgd.
Tijdens bewegingen, de gewrichtsoppervlakken van de botten ongehinderde dia ten opzichte van elkaar, dankzij het gladde, elastische en duurzame hyaline kraakbeen dat de holte van de draaimolen en het hoofd van de dij bedekt. Bovendien vervult Hyaline -kraakbeen een schok -absorberende functie en is betrokken bij de herverdeling van de belasting tijdens beweging en lopen.
In de gewrichtsholte is er een kleine hoeveelheid gewrichtsvloeistof, die de rol van smering speelt en voeding van hyaline kraakbeen biedt. Het gewricht is omgeven door een dichte en sterke capsule. Boven de capsule zijn grote femorale en gluteale spieren, die bewegingen in het gewricht bieden en, samen met hyalinekraakbeen, ook schokdempers zijn die het gewricht beschermen tegen verwondingen met niet -succesvolle bewegingen.
Met coxarthrose wordt de gewrichtsvloeistof dikker en viskeuzer. Het oppervlak van het hyaline -kraakbeen droogt, verliest gladheid, bedekt met scheuren. Vanwege de ruwheid die is ontstaan, raakt het kraakbeen tijdens bewegingen constant gewond om elkaar, waardoor hun dunner worden en pathologische veranderingen in het gewricht verergeren. Naarmate coxarthrose vordert, beginnen de botten te vervormen, zich aan te passen aan verhoogde druk. Het metabolisme in het gewricht verslechtert. In de latere stadia van coxarthrose wordt ernstige atrofie van de spieren van het pijnlijke ledemaat waargenomen.
Symptomen van coxarthrose
De belangrijkste symptomen van de ziekte zijn pijn in het gewricht, het inguinale gebied, de dij en het kniegewricht. Ook met cokesartrose worden stijfheid van bewegingen en stijfheid van het gewricht, loopstoornissen, kreupelheid, atrofie van de heupspieren en verkorting van het ledemaat aan de zijkant van de laesie waargenomen. Een kenmerkend kenmerk van Coksartrose is een beperking van ontvoering (bijvoorbeeld, de patiënt is moeilijk wanneer hij op een stoel probeert te gaan zitten). De aanwezigheid van bepaalde tekenen en hun ernst hangt af van het stadium van coxarthrose. Het eerste en meest constante symptoom is pijn.
Bij Coksartrose van de 1e graad Patiënten klagen over periodieke pijn, die optreedt na fysieke activiteit (hardlopen of langdurig lopen). De pijn is gelokaliseerd in het gewricht, minder vaak in de dij of knie. Na rust verdwijnt het meestal. De loop voor coxarthrose van de 1e graad is niet verbroken, de bewegingen worden volledig bewaard, er is geen spieratrofie.
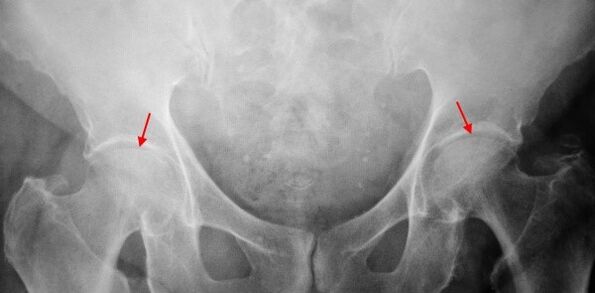
Op de X -Ray van de patiënt die lijdt aan coxarthrose van de 1e graad, worden milde veranderingen bepaald: matige ongelijke vernauwing van de gewrichtspleet, evenals botgroei rond de externe of interne rand van het acetabulum in afwezigheid van veranderingen uit het hoofd en de nek van het dijbeen.
Bij Coksartrose 2 graden De pijn wordt intenser, verschijnt vaak in rust, straalt in de dij en lies. Na significante lichamelijke activiteit begint de patiënt met Coksartrose te slapen. Het volume van bewegingen in het gewricht neemt af: de ontvoering en interne rotatie van de dij is beperkt.
In X -Ray -afbeeldingen voor coxarthrose van de 2e graad wordt een significante ongelijke vernauwing van de gewrichtspleet (meer dan de helft van de normale hoogte) bepaald. De femorale kop is enigszins omhoog verschoven, vervormd en neemt in grootte toe en de contouren worden ongelijk. Botgroei met deze mate van coxarthrose verschijnt niet alleen op de interne, maar ook aan de buitenrand van het acetabulum en gaan buiten het kraakbeen.
Bij Coksartrose 3 graden De pijn wordt constant, zorgt voor patiënten niet alleen overdag, maar ook 's nachts. Lopen is moeilijk, bij het bewegen, een patiënt met coksartrose wordt gedwongen een stok te gebruiken. Het volume van bewegingen in het gewricht is scherp beperkt, de spieren van de bil, heupen en onderbenen zijn geatrofieerd. De zwakte van de verwijderde spieren van de dij wordt de oorzaak van de afwijking van het bekken in het voorvlak en verkort het ledemaat aan de zere zijde. Om het verkorten te compenseren, kantelt een patiënt die lijdt aan coksartrose, tijdens het lopen het lichaam in de pijnlijke richting. Daarom verschuift het zwaartepunt, de belasting op het pijnlijke gewricht neemt sterk toe.
Op röntgenfoto's voor coxarthrose van de 3e graad, een scherpe vernauwing van de gewrichtspleet, worden een uitgesproken uitbreiding van de dijkop en meerdere botgroei gedetecteerd.
Diagnostiek
De diagnose van coxarthrose is gebaseerd op klinische tekenen en gegevens van aanvullende studies, waarvan de belangrijkste radiografie is. In veel gevallen maken x -reeks het mogelijk om niet alleen de mate van coxarthrose vast te stellen, maar ook de oorzaak van het optreden ervan. Dus bijvoorbeeld, een toename van de nek-diaphysphysale hoek, de scènes en afvlakking van het acetabulum duiden op dysplasie, en veranderingen in de vorm van het proximale deel van het dijbeen zijn aangegeven dat coksartrose een consequentie is van de ziekte van Perentes of jeugdige epifysiolyse. Op röntgenfoto's van patiënten met coxarthrose kunnen ook veranderingen worden gedetecteerd die letsel aangeven.
Aangezien andere methoden voor instrumentele diagnose van coxarthrose, kunnen CT en MRI worden gebruikt. Met computertomografie kunt u pathologische veranderingen in detail door botstructuren in detail bestuderen, en beeldvorming met magnetische resonantie biedt de mogelijkheid om stoornissen door zachte weefsels te evalueren.

Differentiale diagnose
Allereerst moet coxarthrose worden onderscheiden van gonarthrose (osteoarthrose van het kniegewricht) en osteochondrose van de wervelkolom. Atrofie van spieren, die optreedt in 2 en 3 stadia van coxarthrose, kunnen pijn in het kniegewricht veroorzaken, die vaak helderder worden uitgedrukt dan pijn in het gebied van schade. Daarom, met de klachten van de patiënt over de kniepijn, is een klinische (inspectie, palpatie, bepaling van het volume van bewegingen) de studie van het heupgewricht en als coxarthrose wordt vermoed, om de patiënt naar radiografie te leiden.
Pijn voor radiculair syndroom (compressie van zenuwwortels) voor osteochondrose en sommige andere ziekten van de wervelkolom kunnen pijn imiteren met coxarthrose. In tegenstelling tot coksartrose, treedt de pijn bij het persen van de wortels plotseling op, na een mislukte beweging, is een scherpe bocht, het tillen van gewichten, enz., Gelokaliseerd in het bilgebied en verspreidt zich langs de achterkant van de dij. Een positief symptoom van spanning wordt gedetecteerd - ernstige pijn wanneer de patiënt probeert een rechtgezet ledemaat op te heffen, liggend op zijn rug. Tegelijkertijd neemt de patiënt vrijelijk zijn been opzij, terwijl bij patiënten met coksartrose de ontvoering beperkt is. Er moet rekening mee worden gehouden dat osteochondrose en coksartrose tegelijkertijd kunnen worden waargenomen, daarom is in alle gevallen een grondig onderzoek van de patiënt noodzakelijk.
Bovendien is Cokesartrose onderscheiden met trochanteritis (laarsbursite) - aseptische ontsteking in het gebied van hechting van de gluteale spieren. In tegenstelling tot coxarthrose ontwikkelt de ziekte zich snel, binnen 1-2 weken, meestal na een letsel of significante lichamelijke activiteit. De intensiteit van pijn is hoger dan bij coksartrose. Beperkingen van bewegingen en verkorting van de ledematen worden niet waargenomen.
In sommige gevallen kunnen met een atypisch verloop van de ziekte of reactieve artritis symptomen die lijken op coxarthrose worden waargenomen. In tegenstelling tot coxarthrose, met deze ziekten, valt de piek van pijn op de nacht. Het pijnsyndroom is erg intens, kan afnemen tijdens het lopen. De ochtendstijfheid is kenmerkend, die zich onmiddellijk na het ontwaken optreedt en geleidelijk binnen een paar uur verdwijnt.
Behandeling van coxarthrose
Behandeling van pathologie is bezig met traumatoloog -orthopedisten. De keuze van behandelingsmethoden hangt af van de symptomen en het stadium van de ziekte. Bij 1 en 2 fasen van coxarthrose wordt conservatieve therapie uitgevoerd. Tijdens de periode van verergering van coxarthrose, worden injectieblokken, niet -steroïde ontstekingsremmende geneesmiddelen (pyroxen, indomethacine, diclofenac, ibuprofen, enz.) Gebruikt. Er moet rekening mee worden gehouden dat geneesmiddelen van deze groep niet lang worden aanbevolen, omdat ze een negatief effect kunnen hebben op de interne organen en het vermogen van hyalinekraakbeen om te herstellen onderdrukken.
Om het beschadigd kraakbeen voor coksartrose te herstellen, worden fondsen van een groep chondroprotectoren (chondroïtinesulfaat, kraakbeenextract, enz.) Gebruikt. Om de bloedcirculatie te verbeteren en spasmen van kleine vaten te elimineren, worden vasodilerende geneesmiddelen (zinnarisine, nicotinezuur, pentoxifilline, xanthinol nicotinaat) voorgeschreven. Volgens de indicaties worden spierverslappers gebruikt (spierontspanningsgeneesmiddelen).
Met hardnekkig pijnsyndroom kunnen patiënten die lijden aan coksartrose intra -articulaire injecties worden voorgeschreven met behulp van hormonale geneesmiddelen (hydrocortison, triamcinolon, metrumor). Behandeling met steroïden moet voorzichtig worden uitgevoerd. Bovendien worden met coxarthrose lokale producten gebruikt - verwarmende zalven die geen uitgesproken therapeutisch effect hebben, maar in sommige gevallen verlichten ze spierspasmen en verminderen ze pijn vanwege hun "afleidende" actie. Met coxarthrose worden ook fysiotherapeutische procedures voorgeschreven (lichtgevende, ultrasone therapie, laserbehandeling, UHF, inductothermie, magnetotherapie), massage, handmatige therapie en therapeutische gymnastiek.
Het dieet voor coksartrose heeft geen onafhankelijk therapeutisch effect en wordt alleen gebruikt als middel om gewicht te verminderen. Door het lichaamsgewicht te verminderen, kunt u de belasting op de heupgewrichten verminderen en als gevolg daarvan het verloop van Coksartrose vergemakkelijken. Om de belasting op het gewricht te verminderen, kan de arts, afhankelijk van de mate van coxarthrose, aanraden om met een riet of krukken te lopen.
In de latere stadia (met coxarthrose van de 3e graad) is de enige effectieve behandelingsmethode de operatie - het vervangen van het vernietigde gewricht door een endoprosthese. Afhankelijk van de aard van de laesie, kan een enkele pool (alleen de kop van de dij vervangen) of twee -pool (zowel het hoofd van de dij als de draaipolte vervangen) worden gebruikt.
De werking van endoprosthetics voor coxarthrose wordt op een geplande manier uitgevoerd, na een volledig onderzoek, onder algemene anesthesie. In de postoperatieve periode wordt antibioticatherapie uitgevoerd. De naden worden op 10-12 dagen verwijderd, waarna de patiënt wordt voorgeschreven voor poliklinische behandeling. Na endoprotthetics worden revalidatiemaatregelen noodzakelijkerwijs gehouden.
In 95% van de gevallen zorgt chirurgische interventie om het gewricht door coxarthrose te vervangen, een volledig herstel van de ledemaatfunctie. Patiënten kunnen werken, actief bewegen en zelfs sporten. De gemiddelde levensduur van de prothese, onder voorbehoud van alle aanbevelingen, is 15-20 jaar. Hierna is een tweede bewerking vereist om een versleten endoprosthese te vervangen.























